RADIOLOGY IMAGE SPOTTERS
Tuesday, July 1, 2014
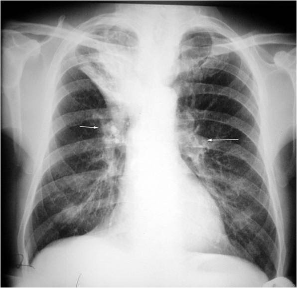
Right upper lobe collapse
No comments:
Post a Comment
Newer Post
Older Post
Home
Subscribe to:
Post Comments (Atom)
No comments:
Post a Comment